
 過酸化水素特異的蛍光プローブ ライフサイエンス 製品情報 試薬 富士フイルム和光純薬 

 生細胞染色試薬 蛍光性エステラーゼ基質 蛍光分析による生細胞のモニターに コスモ バイオ株式会社 

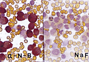
 3 エステラーゼ Est 染色 ベックマン コールター 


 3 エステラーゼ Est 染色 ベックマン コールター 

 インフルエンザ情報 

 医学のあゆみ 第5土曜特集256巻5号 Gpcr研究の最前線2016 桿体視物質 錐体視物質 桿体視と錐体視の機能的差異をもたらすgpcr 
 特許5850342 知財ポータル Ip Force 

 コロナウイルスワクチン接種すべきか 自分で考えよう かがやきクリニック川口 

 2010 528666号 カルボキシエステラーゼ 1多型およびその使用方法 Astamuse 

 3 エステラーゼ Est 染色 ベックマン コールター 

 Jp5524857b2 効率的アスピリンプロドラッグ Google Patents 
Tags:
Archive
